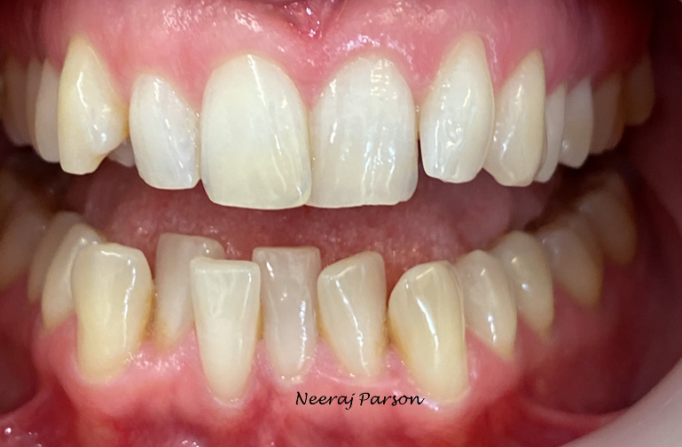
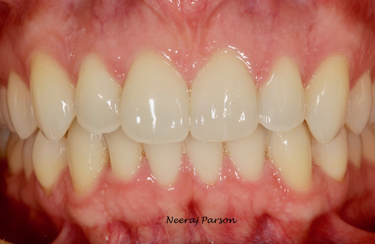
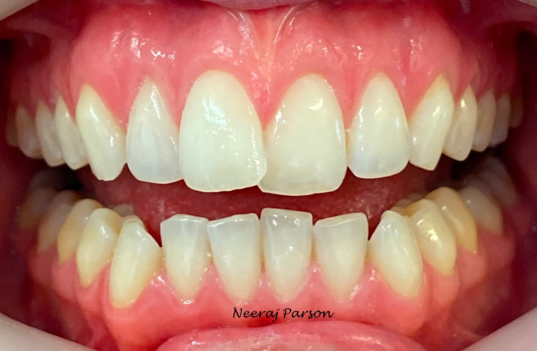
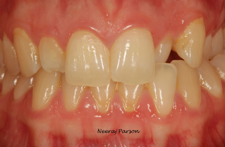
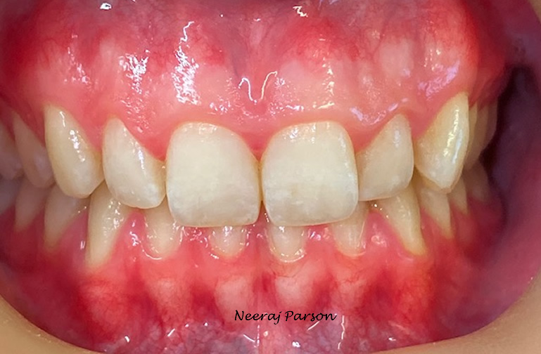
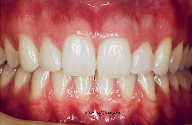
Fisherton Dental is an official Elite level Invisalign dentist providing treatment for straighter teeth in Salisbury and the surrounding area. The smile of your dreams is more affordable than you think with our range of payment options. Our expert orthodontist in Salisbury will be your guide throughout the process.
Invisalign is an incredibly flexible and discreet alternative to traditional braces. Made of clinical grade plastic, they are nearly invisible and can be removed for eating food, whilst brushing your teeth, for important appointments or whilst playing sport or a musical instrument.
Looking for Invisalign in Salisbury? Fisherton Dental is here to help.



There are many reasons why Fisherton Dental Care is the ideal place to find your new smile in Salisbury:
Invisalign is an incredibly flexible and discreet alternative to traditional braces in Salisbury. Made of clinical grade plastic, they are nearly invisible and can be removed for eating food, whilst brushing your teeth, for important appointments or whilst playing sport or a musical instrument.
Dedicated to promoting healthy and beautiful teeth you can be proud of