Beauty is power, a smile is its sword.....
Are you afraid of smiling due to stained, broken or uneven teeth? Fisherton Dental Care is there to help you deal with all the flaws of your smile through the expertise of our highly experienced cosmetic dentist in Salisbury who will spark a new level of confidence in your smile.
Our cosmetic dentist in Salisbury will offer you high quality services at reasonable prices including:
Through our modern and inviting cosmetic dental practice, we have established a proven expertise in optimising oral health while creating gorgeous smiles that feel as much striking as they look.
Being established as a premier Private Dental Practice in Salisbury, you can expect exceptional care and treatment from our cosmetic dentist.
Teeth whitening – a fast and affordable way to brighten your smile by several shades. Please read more on our dedicated whitening page.
Cosmetic Bonding – Cosmetic bonding is the bonding of composite resins to natural teeth. It is a very conservative technique to improve a smile. Bonding can make your teeth appear straighter, close gaps and correct imperfections in your smile. This one hour makeover allows you to get rid of those imperfections without having to undergo lengthy treatment or wear braces. With the newer generation of composites the transformation is amazing and very natural.
Porcelain Veneers and Crowns - A veneer is a very thin porcelain facing used to cover the fronts of the teeth to improve their long term appearance.
They were originally developed in the 1930s for Hollywood 'Movie Stars' and applied temporarily with denture fixatives. Today the adhesive cements used have very high bond strengths and permanently bond the Veneer to the tooth surface.
Recent advances in porcelain technology make veneers extremely durable and they are a long term solution to many cosmetic imperfections of the teeth.
Cosmetic veneers are hand crafted and custom made to replicate the hue, colour and shape of the teeth. Skill is required to produce a veneer which is fine enough yet strong enough to sit unobtrusively on the tooth surface. Attention to detail is imperative so that the final result looks completely natural.



Smile design or makeover in Salisbury usually involves one or more of the following cosmetic dental treatments:
We use minimal/no preparation techniques to give you that smile which you always desired. Sometimes all you need is simple teeth whitening which will give your smile a sparkle, or maybe you might need veneers. Every case is assessed individually to find the best and most conservative way to enhance your smile.
A person with a perfect smile helps him/her to be confident and also raises self-esteem. This is one of the reasons why we at Fisherton Dental Care provide excellent smile design services at highly competitive prices so that you can have the smile you deserve.
At Fisherton Dental Care you can expect nothing but the best. Our cosmetic Dentist Neeraj Parson has trained under the world’s best cosmetic dentists and has the expertise and clinical skill to give you the smile you have always desired. Smile design at Fisherton Denatal Care is very popular and you are welcome to have your smile assessed by us absolutely free!
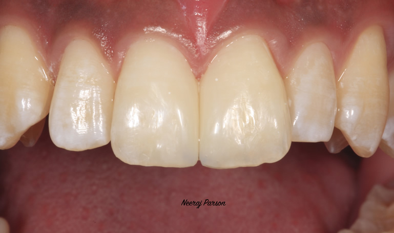
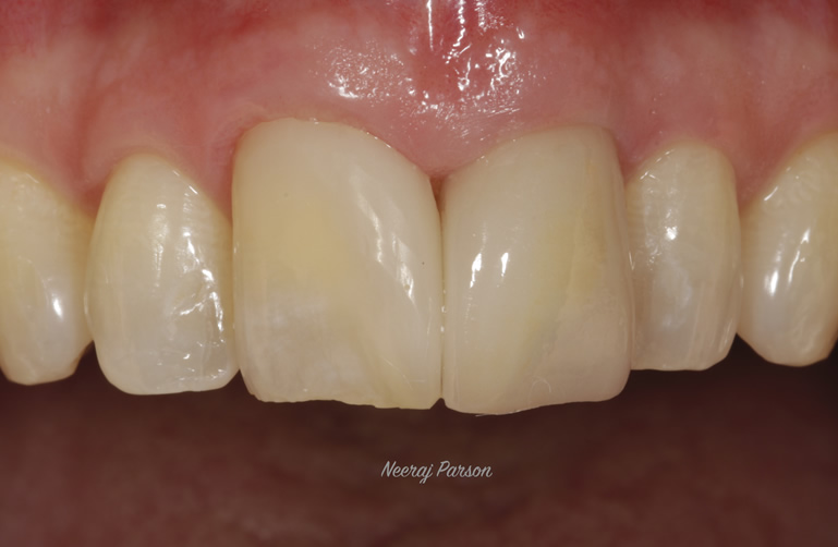
Porcelain crown and resin bonding
This patient was not happy with the gap between her front teeth and her existing crown as it showed black margins.
The old metal bonded crown was replaced with metal free E max porcelain crown and resin bonding was done on the adjacent tooth to close the black gap.
This case was entered in a national competition and was the finalist in the Aesthetic Dentistry awards in 2020.
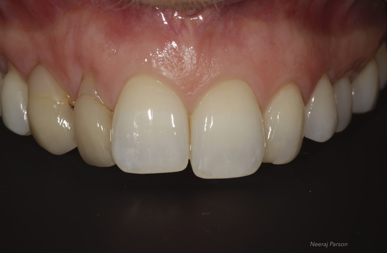
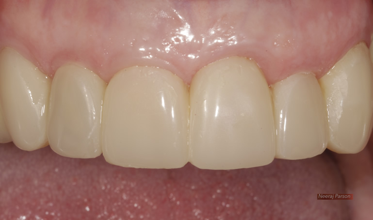
Smile transformation with porcelain crowns and veneers
This lady teacher was very embarrassed with her teeth and one day when one of kids in her class asked her why her teeth were brown, she decided to get her teeth sorted.
It was a very complex case and needed braces to align the teeth first. This was then followed by E max Porcelain crowns and veneers handcrafted by award winning technicians. These crowns and veneers were then bonded to her teeth.
The complete smile transformation was magical and she could not stop smiling. She later sent us an email to thank us as the new smile had changed her whole life around. She was smiling more and happier!!
Cosmetic immediate Veneers
This nice lady in her mid 60’s wanted to improve her smile. She was extremely embarrassed to smile at photos and tried to hide her smile.
One visit direct Componeers were done to close the black gaps between her teeth, improve the shape and size of the teeth as well as the colour. Pt was absolutely over the moon and since then has recommended several of her friends to us for similar treatment option.
Cosmetic resin veneer bonding
This young girl had intrinsic stains on her teeth right from childhood. She wanted a cost effective option to improve her smile. She opted for direct resin veneers bonding.
We did a one visit resin veneers on her front 8 teeth to transform the shape and colour of her teeth. She could now smile confidently!!
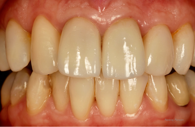
Cosmetic gap closure with resin bonding
This university student was very conscious of the gap in between the front two teeth. He wanted a quick treatment as he was going away to his university in Sheffield.
Cosmetic resin bonding was done to achieve a fantastic result in just 2 hours. This case was entered in a national competition and was shortlisted for the finals of the Aesthetic awards in 2018 .
Dedicated to promoting healthy and beautiful teeth you can be proud of