A necessity rather than a Luxury.....
We are pleased to offer Dental Implants at our Private practice in Salisbury. Dr Neeraj Parson at Fisherton Dental Care has numerous years of experience in performing surgical dentistry procedures for patients looking to regain their smile with the help of Dental implants in Salisbury. We make use of Swiss made Straumann Implant system in our procedures. The Straumann group is a global leader in implant dentistry around the world. We also use the Osstem Implant system which is also world class and gives excellent results.
A dental implant serves as an ideal option for people who have lost a tooth due to some injury or periodontal disease. Much like natural teeth, an implant provides the ability to eat virtually anything while allowing you to smile with confidence. By replacing one or more missing teeth, implants are often used as a long term solution offering a fully functional and aesthetic result. An implant is basically a titanium screw which is placed in the jaw bone so that it can replace the root of the tooth when it fails . A porcelain crown is then connected to the implant to give you an artificial fixed tooth.
There are several benefits of receiving dental implants in Salisbury at Fisherton Dental care, including:
At Fisherton Dental Care, we understand the fact that getting teeth implants can be a life changing decision for you.
We also value the anxiety you might have about the implant procedure which is why we are always ready to offer you sound advice and proper guidance about your treatment.
When it comes to pricing, we offer highly reasonable and most affordable packages in the region including discounted implants cost for Salisbury patients. To read more about the versatility of dental implants and the wide range of treatments we offer, please click through to our dedicated Dental Implants Website
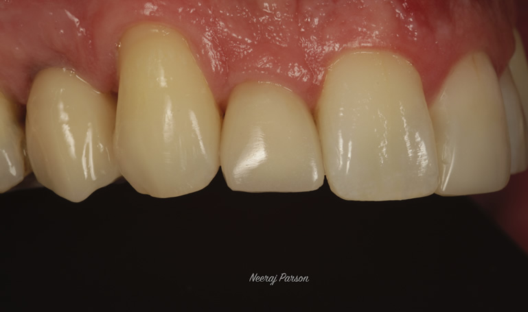
Single tooth replacement with a Dental implant
This young man lost the UR2 as the tooth snapped due to an injury. The tooth was extracted and immediately replaced with a dental implant. After 3 months a final porcelain E max with Zirconia core was made after contouring the gums.
The gum contouring allowed the natural contours of the gums to be replicated and the Master technician matched the colour beautifully with his adjacent natural teeth. Note the beautiful gum margins and the perfect shade match which make it look like a natural tooth!!
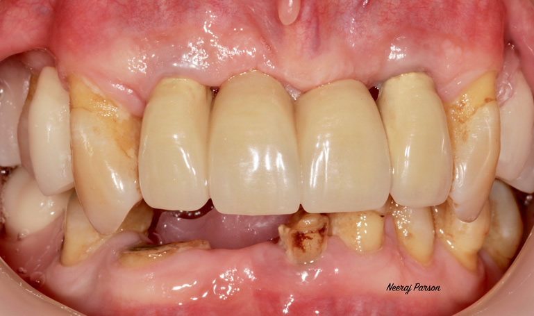
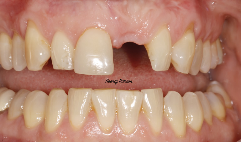
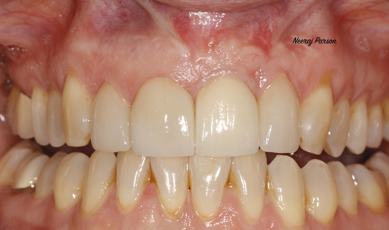
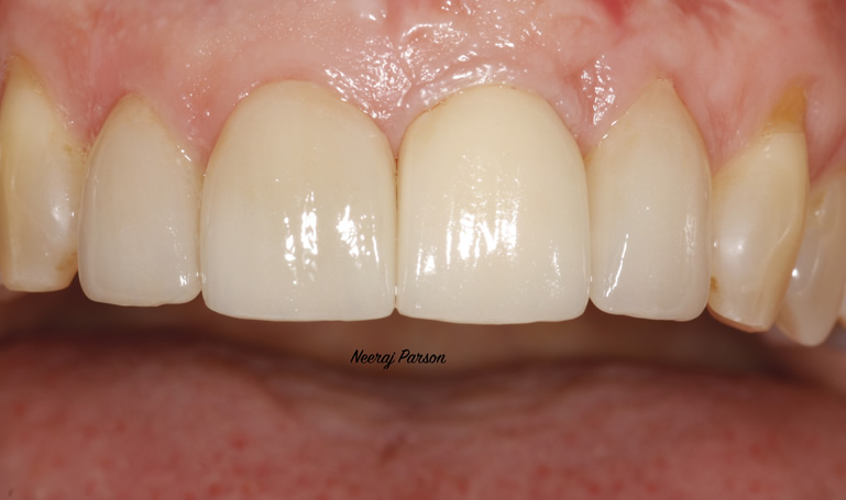
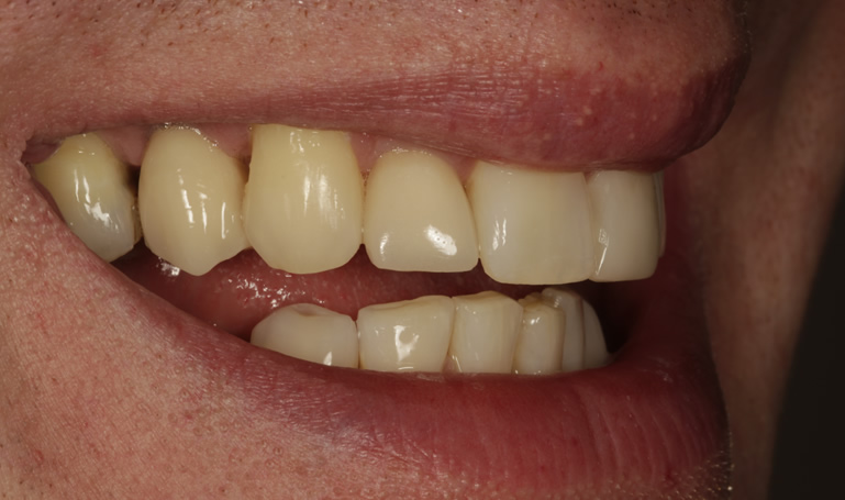
Dental Implant and porcelain veneers
This patient was very depressed due to losing her front tooth and wanted once and for all replace it with a Dental implant and also improve her smile.
The missing tooth was replaced with a dental implant and Emax porcelain crown and veneers were handcrafted to match her other teeth.
The results were amazing and there was quite a smile transformation !!
4 Implants Retained Bar overdenture – OUR MOST POPULAR TREATMENT
All the upper broken teeth were extracted and 4 immediate implants were placed. After 3 months a milled bar was attached to the implants and a new palate free denture was fabricated to lock onto the bar.
This treatment is extremely popular as the denture is removable but locked in so well that you can eat and chew all types of food without any worry. There is no palate coverage and patients with a gag reflex find it very comfortable.
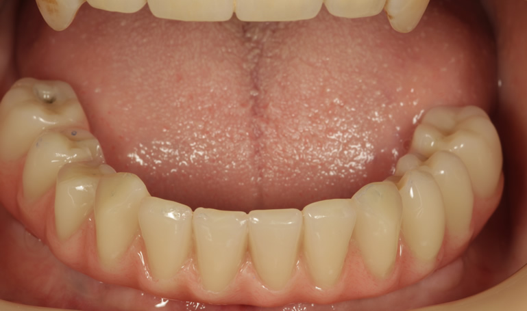
Fixed – All on 4 lower set of teeth.
This gentleman had very badly broken down teeth in the lower jaw, and he was unable to chew and eat his food properly.
He wanted a fixed set of teeth. So all the teeth in the lower jaw were extracted and 4 dental implants were placed. After the healing phase, a full set of teeth were handcrafted and fixed onto the 4 implants. He enjoyed his first meal of steak immediately after the completion of the treatment and was absolutely thrilled.
He said something which I will never forget "Dr Parson, people don’t realise that chewing is an underrated pleasure"
Dedicated to promoting healthy and beautiful teeth you can be proud of